Preventing early childhood dental decay
Early childhood dental decay is a severe form of tooth decay that affects the teeth of infants and young children. It is found usually on the upper front teeth but other teeth may also be affected.
How does decay occur?
Decay develops when sugars are often left to remain on the teeth – and for a long time. These sugars are found in many food and drinks including:
- milk
- juice
- cordial
- honey
- soft drinks.
Plaque is a sticky, almost invisible film of bacteria that forms daily on teeth and uses the sugars to produce acids that attack teeth. When the acid attacks occur often, over time teeth can decay.
The enamel on baby teeth is softer and thinner than on adult teeth, making them decay much more easily and quickly.

White spots on a child’s teeth signify the start of early childhood dental decay.
When does decay start?
Decay can start as soon as the tooth appears in the mouth.
Whitish marks on the tooth surface close to the gum line maybe an early sign of tooth decay. At this early ‘white spot’ stage, the decay process can be stopped and/or reversed by the use of fluoride.
If it is left untreated it can quickly progress to become a hole that will need dental treatment. This more advanced stage of decay will have a yellow-brown or black appearance on teeth.
How do young children get dental decay?
Decay is more likely to occur in infants or toddlers who:

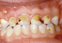
Advanced early childhood dental decay.
- fall asleep sucking a bottle filled with a sugary liquid
- fall asleep sucking a dummy dipped in a sweet substance such as honey
- have prolonged (more than one year) on-demand breastfeeding
- have poor oral hygiene
- have a diet high in sugar, with lots of snacks.
Falling asleep while sucking a bottle or dummy dipped in a sweet substance is particularly damaging to the teeth because less saliva is produced during sleep. Saliva has an important role in washing away the harmful plaque acids.
Frequent snacking can also contribute to tooth decay because there is less time between eating to allow teeth to recover from plaque acid attacks.
What parents should know about dental decay
Children are not born with decay-causing bacteria in the mouth.
These bacteria are passed to the child by their parents or caregivers through food tasting and/or through cleaning a dummy or teat in their own mouths.
By keeping their own mouth healthy, parents can reduce the risk of decay in themselves and their children.
Oral hygiene should start from birth, even before teeth erupt (come through). Start by cleaning your child’s gums after feeds and then start cleaning teeth as soon as they come through. Read more about teething and how to keep your child’s gums and teeth healthy.
How can you prevent dental decay?

Follow these simple guidelines to prevent dental decay in your child’s teeth:
- Do not allow a bottle containing milk or sweetened liquids to remain in your child’s mouth after they have fallen asleep.
- If you child does need a bottle for comfort or for sleep, only provide cooled, boiled water in the bottle
- Do not give cordial or juices in the bottle. Water is the best thirst quencher.
- Replace the bottle with a cup when your child is 6 to 12 months old.
- Do not dip your child’s dummy in any sweetened substances.
- Avoid sweet and sticky snacks.
- Clean your child’s teeth twice daily.
- Choose sugar-free medicines.
- Start visits to your oral health professional by your child’s first birthday.
Where to get help
Dental Health Services
You can also
Remember
- Early childhood dental decay is preventable.
- The enamel on baby teeth is softer and thinner than on adult teeth, and can decay more easily and quickly.
- Bacteria that causes dental decay is often passed on to children by parents or caregivers, so it is important that parents/caregivers maintain good oral health too.
Acknowledgements
Dental Health Services
This publication is provided for education and information purposes only. It is not a substitute for professional medical care. Information about a therapy, service, product or treatment does not imply endorsement and is not intended to replace advice from your healthcare professional. Readers should note that over time currency and completeness of the information may change. All users should seek advice from a qualified healthcare professional for a diagnosis and answers to their medical questions.